Fantastic service, beautiful surroundings and a thorough and engaging staff. This has been the best experience I have ever had with a dental office. I had a detail first consultation. I was asked tons of questions about my past, current and expected future care. I was given a thorough examination and after identifying what my needs are, I was set up for my next appointment. Dr Cash and staff provided excellent service and I look forward to continuing my care at Pearl Dental Studio. It is really nice to know that such excellent service still exists . Kudos to this team and I will highly recommend them to friends and family.
After considerable research and confirmation by my Periodontist, I recently chose Pearl Dental Studio as my primary provider. I’ve been there three times to date; first was an introductory appointment and exam, then an appointment for fillings, and most recently a standard cleaning appointment. The entire staff is personable and committed to providing excellent service in a very relaxing environment. Dr. Cash is excellent with providing the personalized dental care I was in search of. I’m extremely satisfied with my choice and can’t imagine any better care.
As a busy professional, it's important to me that appointments begin on time. How wonderful to walk in and be greeted by a friendly receptionist and shortly be seated for my appointment. Dr. Cash and Haley were amazing. Dr. Cash took the time to explain the details of what my treatment plan would be and the "why behind the what". My answers to my insurance questions were followed by a quick response. Welcome to Five Forks! Great Job!
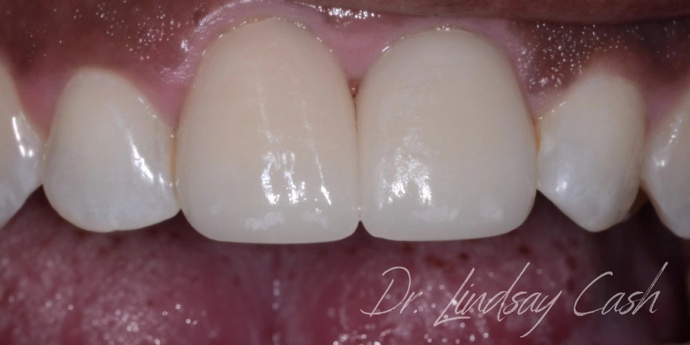
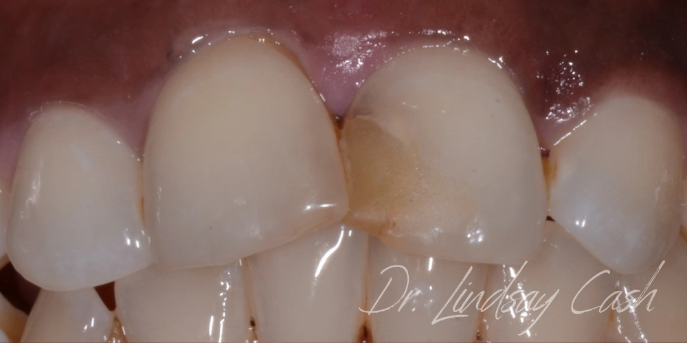
My experience at Pearl Dental Studio has been amazing. Everything is easy to schedule and set up. The whole team is welcoming, friendly, and kind. There are many things that were never properly explained to me at previous dentists but it felt entirely different here. I felt informed at every step of the process and learned a lot about my teeth that I didn’t know previously. I really appreciate the patience and expertise of the team here. Thank you