117 Batesville Rd Suite 202, Simpsonville, SC 29681

Cosmetic Dentistry Tailored to Your Needs
Benefits of Cosmetic Dentistry
By undergoing one of our cosmetic dental treatments, you can improve your teeth, your overall smile, and your confidence. Having an attractive smile can increase your likelihood of meeting a new partner, making new friends, and landing job opportunities.
Cosmetic dentistry can do more for your teeth than just cover up aesthetic problems, it can also improve your oral health and restore the function of your teeth. Severely damaged or chipped teeth can be covered up with tooth restorations that improve the appearance of the teeth but also offer a strong and durable prosthetic in its place.
Other benefits of cosmetic dentistry include making you look younger, offering relief from headaches by correcting tooth alignment, and improving your ability to chew and speak clearly by repairing damaged teeth.
- Chips or cracks in the teeth
- Discoloration
- Misshapen teeth
- Gaps
- Crooked teeth
- Broken or loose teeth
- Silver or gold dental work
Our Cosmetic Dentistry Services

Custom Whitening Solutions for Every Patient
Stains, discoloration, and yellowing are all common cosmetic issues, especially as patients age. Certain habits can contribute to excessive staining, such as consuming coffee, tea and wine, or using tobacco products.
If your smile is discolored, Dr. Cash offers both in-office and take-home whitening to meet the needs of any patient. In-office treatment is convenient and allows you to brighten your smile quickly. Treatment times vary from case to case, but if you want fast results for your next special occasion, it’s a great option!
Take-home whitening provides the same results, but allows you to treat yourself in the comfort of your own home using custom whitening trays and powerful, professional-grade whitening agents. With this convenient treatment, you’ll get more gradual results over a period of 2-3 weeks.

Dental Bonding for a Natural, Flawless Finish

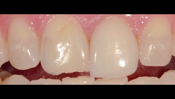
Custom Veneers for Your Perfect Smile
Keep Your Smile Radiant Every Day
There are a few different cosmetic treatments available that can result in a whiter appearance of the teeth. These include teeth whitening, dental bonding, and veneers. However, all of these procedures are temporary.
Teeth whitening lasts for about 6 months to 3 years, dental bonding lasts for 3-10 years, and porcelain veneers last between 7-15 years. How, then, can you prolong the results of these treatments? Well, you’ll need to start by maintaining proper oral hygiene.
You need to take care of your dental restorations in the same way you’d take care of your natural teeth. Brush your teeth with a soft-bristle toothbrush and nonabrasive fluoride toothpaste twice a day and floss once each day.
This will keep your teeth clean and free of food particles that lead to decay. Attend regular dental cleanings and checkups to remove surface stains every 6 months. Plaque buildup is removed during cleanings and plaque results in a yellow sticky film around the teeth. To avoid damaging veneers and dental bonding and staining your teeth, you should:
- Avoid smoking/tobacco products
- Limit consumption of staining foods & drinks
- Don’t use your teeth to open packages or chew on objects
- Don’t chew on hard or sticky foods
- Use a straw when drinking anything other than water
- Wear a nightguard if you grind your teeth
- Rinse your mouth out after eating
Is Cosmetic Dentistry Right for You?
If you’re someone who is in good overall and oral health but has some aesthetic issues with the appearance of their teeth or smile, then you make a great candidate for cosmetic dental treatments.
A good candidate wants to cover up minor to moderate imperfections, has realistic expectations about how much cosmetic dental treatments can alter their appearance, and is fully aware of the commitment they are making with certain irreversible procedures.
Expert Guidance on Cosmetic Dentistry Options
Frequently Asked Questions
Before & After: Your Smile, Reimagined



