117 Batesville Rd Suite 202, Simpsonville, SC 29681

Enhance Your Smile With Teeth Whitening
Teeth stains are a natural part of life. As we age and enjoy beverages like coffee, tea, and wine, or consume dark-colored foods like berries and tomatoes, stains can accumulate on tooth enamel. Lifestyle choices such as smoking or chewing tobacco can further contribute to discoloration. Even if you avoid these habits, the natural aging process can still leave your teeth looking dull.
But you don’t have to live with stains! At Pearl Dental Studio, we offer both take-home and in-office whitening treatments designed to remove stains and boost your confidence. Contact your Greenville dentist today!
In-Office or Take-Home Whitening Options
At our office, we provide both in-office and take-home whitening treatments. Our in-office whitening procedures are conducted by Dr. Cash. The treatment time typically ranges from 1 to 2 hours, depending on the extent of staining and your desired shade. To begin, Dr. Cash will apply a special compound to protect your gums, followed by a whitening gel on your teeth that effectively lifts stains from the enamel. After the treatment, the gel is rinsed away, revealing a bright, white smile.
For those who prefer take-home whitening, Dr. Cash will create custom trays that fit perfectly over your teeth and provide a professional whitening compound, allowing you to enhance your smile comfortably at home.
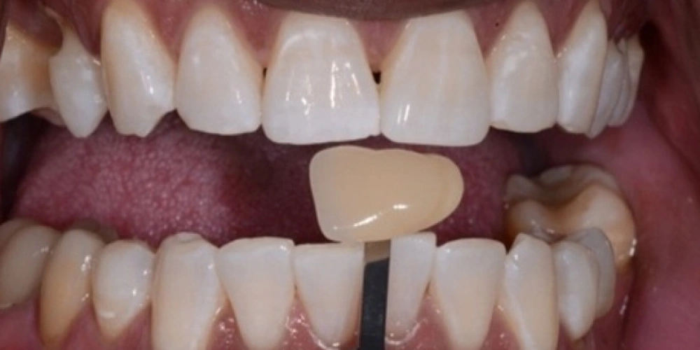
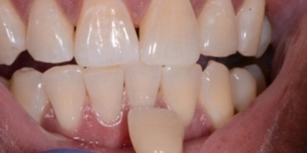
Transform Your Smile: Before & After
Why Choose Teeth Whitening?
Choosing Your Whitening Treatment
Both in-office and take-home whitening treatments yield similar results, but each has its unique advantages. In-office whitening is quicker, allowing you to achieve a brighter smile in just one appointment. If you have a special occasion coming up, this option may be the best fit for you.
On the other hand, take-home whitening lets you enhance your smile in the comfort of your own home. While this method takes a bit longer to show results, many patients appreciate the gradual change, as it is less noticeable compared to the immediate brightness of in-office treatments.
Still uncertain about which option is right for you? Contact Dr. Cash for a consultation to discuss your whitening needs! Our office is conveniently located at 117 Batesville Rd Suite 202, Simpsonville, SC 29681.
Kor Whitening
KöR Whitening Treatment is a groundbreaking advancement in cosmetic dentistry, now available in Greenville, SC. This innovative whitening system can achieve beautifully white teeth in less than two weeks with unmatched efficiency and consistency, making traditional at-home kits feel outdated.
KöR Whitening is an at-home kit that employs modified dental bleaching technology to deliver flawlessly white teeth in just under two weeks. It’s at least 10 times more effective than conventional whitening kits, producing results in days instead of weeks or months. This is made possible by its Dual-Activated, Tri-Barrel™ Hydremide® Peroxide Technology, which enhances the whitening gel's effectiveness.
What distinguishes KöR Whitening is its custom trays that fit snugly around your teeth, preventing saliva contamination. While traditional whitening gels lose potency after just 30 minutes, KöR Whitening remains effective for up to 8 hours, allowing you to whiten your teeth overnight for rapid results.
The advantages of KöR Whitening include faster outcomes, expert supervision, consistent whitening, cost-effectiveness, and safety. If you’re looking for a brighter smile for an upcoming event, this treatment is an excellent choice.
At Pearl Dental Studio in Greenville, our experienced cosmetic dentists provide top-quality care using the latest dental technologies. Schedule an appointment today to experience the KöR Whitening difference!
Personalized Whitening With Custom Trays
At Pearl Dental Studio in Greenville, we provide custom trays as part of our personalized approach to teeth whitening and other dental treatments. These trays are specially crafted to fit the unique shape of your teeth, ensuring optimal comfort and effectiveness. Whether you’re using them for KöR Whitening or other at-home dental treatments, custom trays deliver superior results compared to over-the-counter options, as they promote even application of whitening gels or other prescribed solutions.
The process of creating custom trays is both simple and efficient. During your visit to Pearl Dental Studio, we take precise impressions of your teeth, which are then used to create the custom-fitted trays. These trays are designed to fit snugly and securely, preventing leakage of the whitening gel or medication onto your gums, minimizing irritation while maximizing treatment effectiveness.
Custom trays offer flexibility and convenience, allowing you to continue your treatment at home while enjoying the benefits of a professionally designed solution. Whether you aim to brighten your smile or maintain your oral health with a specialized treatment, custom trays from Pearl Dental Studio provide comfort and effectiveness tailored specifically to your needs. Schedule your appointment today to discover the benefits of custom trays!
Frequently Asked Questions


