117 Batesville Rd Suite 202, Simpsonville, SC 29681

Enhance Your Smile Teeth Whitening in Five Forks
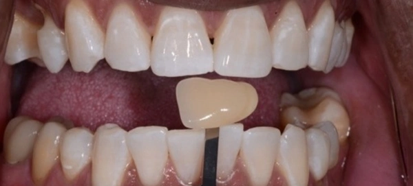
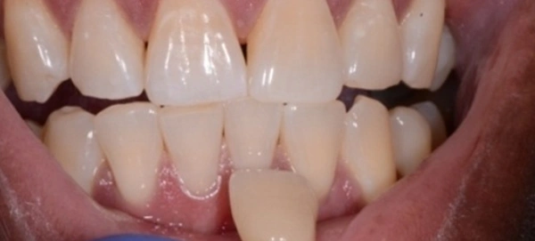
A Bright, Rejuvenated Smile — Before and After
Teeth Whitening Options: In-Office or Take-Home?
At our office, we offer both in-office and take-home whitening treatments. Our in-office whitening procedures are conducted by Dr. Cash, with treatment times typically ranging from 1 to 2 hours, depending on the level of staining and your desired shade. Dr. Cash will apply a special protective compound to your gums, followed by a whitening gel on your teeth that effectively lifts stains from the enamel. After the treatment, the gel will be rinsed away, revealing your bright, white smile.
If you choose the take-home whitening option, Dr. Cash will create custom trays that fit your teeth perfectly and provide you with a professional whitening compound, allowing you to enhance your smile in the comfort of your own home.
Why Choose Teeth Whitening? Understanding The Benefits

What’s Right for Me? Choosing Your Whitening Treatment
Both in-office and take-home whitening treatments deliver similar results. In-office whitening is faster, allowing you to achieve a brighter smile in just one appointment. If you have a special occasion coming up and want immediate results, this option may be the best fit for you.
On the other hand, take-home whitening lets you enhance your smile in the comfort of your own home. While this treatment takes a bit longer, many patients prefer the gradual results, as the whitening occurs over time, making it less noticeable that you’re undergoing treatment.
Still unsure which option is right for you? Contact Dr. Cash for a consultation to discuss your whitening needs! Our office is located at 117 Batesville Road Suite 202 Simpsonville, SC 29681.
Frequently Asked Questions


